Welke onderzoeken worden er op de CT-scan uitgevoerd.
Wat zijn de voorbereidingen en wat is de nazorg.
De verschillende onderzoeken werden hier geplaatst volgens anatomische
locatie:
Van het hoofd naar de voeten.
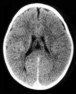
CT-scan
van het hoofd
Een CT-scan van de hersenen kan uitgevoerd worden met of zonder
contrasttoediening. Welke methode gebruikt wordt is afhankelijk van de
indicatie. In sommige gevallen kan het aangewezen zijn het onderzoek
eerst zonder en daarna met contrast uit te voeren om een duidelijker
beeld te verkrijgen in de pathologie van de patiënt.
Bij een trauma kan de radioloog de genomen beelden ook interpreteren in
een venster waarin de beenderstructuren duidelijker zichtbaar zijn.
Indien er contrast toegediend zal worden, is het noodzakelijk om
nuchter te zijn voor het onderzoek. Best is hiervoor om minstens vier
uur voor het onderzoek niet te eten of te drinken.
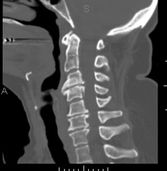
Een ct-scan van de wervelzuil wordt in princiepe aangevraagd om letsels
ter hoogte van de wervels te beoordelen, of om de doorgangkelijkhdeid
van het ruggemergkanaal te controleren. Den hier aan het opsporen
van een discus hernia, of een traumatisch letsel van eenwervel.
Vraagt in principe geen specifieke voorbereiding.
De patiënt gaat op de rug liggen op de onderzoekstafel en moet
blijven liggen tot na het onderzoek. Het is hier van belang dat de
patiënt niet meer van positie verandert.
Contrast wordt hier in sommige gevallen toegediend, maar dit is geen
regel.
Bedoeling van een scan van de hals kan zijn, het opsporen van een
deffect er hoogte van de bloedvaten van de hals, of een abnormaal
voorkomen van een bepaalde structuur in de hals, vb. een vergrote
schildklier.
Een CT-scan van de hals
wordt meestal uitgevoerd met contrast.
Uitzonderingen hiervoor zijn de
onderzoeken van de schildklier.
Indien er contrast wordt gegeven moet
de
patiënt minstens vier uur voor het onderzoek nuchter gehouden
worden.
Hier wordt een beeld gevormd van de structuren van de borstkas. De
longen, het mediastinum maar ook de bloedvaten en het hart worden
beoordeeld. Tijdens het onderzoek zal de patiëtn gevraagd worden
om de adem in te houden. Dit om een egaal opvolging van de beelen te
krijgen. Ook is het uiteraard van belang om tijdens het onderzoek niet
te bewegen. Door de steeds toenemende snelheid van de toestellen is dit
echter niet een zware opdracht. Als je denkt dat een volledig longscan
ongeveer een kleine dertig seconen in beslag neemt. Het kan echter zijn
dat er volledigheidshalve een tweede opname wordt genomen, blijven
liggen tot men u zegt dat het afgelopen is, is dus wel da boodschap.
Afhankelijk van de indicatie wordt er al dan niet besloten om contrast
toe te dienen.
Ook hier is het dan nodig om de patiënt nuchter te houden ten
minste vier uur voor het onderzoek.
Back up CT-scan
van het abdomen of
het kleine bekken
Een CT-scan van het abdomen of het kleine bekken worddt genomen om
eventuele problemen ter hoogte van de darmen, lever, nieren, milt,
enz... te beoordelen.
Ook hier is het van groot belang dat de patiëtn tijdens het
onderzoek niet beweegt. Er zal een aantal keren gevraagd worden om de
adem op houden. Dit is eveneens belangrijk om een goede continuiteit
van de beelden te garanderen.
Behalve wanneer het onderzoek wordt gedaan om een beeld te krijgen van
de bloedvaten en de beenderstructuren, wordt in principe altijd
contrast gegeven om te drinken. Intraveneuse contrast wordt toegediend
behalve bij beenderonderzoeken.
Hier is dan een goede voorbereiding nodig.
De dag voor het onderzoek wordt er een reinigingslavement gegeven of
een oraal laxeermiddel.
De dag van het onderzoek moet de patiënt een liter contrastmiddel
drinken over een uur tijd. Dit om de darmen zo goed mogelijk te vullen.
Op die manier kan een duidelijk beeld gevormd worden van de darmen. Ook
is een lavement met contrast soms noodzakelijk. Dit om de laatste delen
van de darm te vullen.
(Nota: in sommige centra geeft men in
plaats van een lavement reeds de dag voordien een fles verdund
contrast. Dit geeft echter een minder duidelijk beeld van de laatste
darmlissen.)
Een Ct-scan van het skelet wordt uitgevoerd wanner er een verdere
evaluatie nodigs van een lestel dat gezien is op een klasieke foto.
Denk aan fracturen, luxaties e.d., maar ook aan metastasen,
arthrose,...Zo kan het bijvoorbeeld zijn dat een letsle niet duidelijk
genoeg voorkomt op de foto's endat er dus twijfel bestaat. Maar ook kan
het zijn dat een CT-scan noodzaklijk is om een duidelijk beeld te
verkrijgen van een uitgebreide fractuur, om verder behandeling te
bepalen.
Dankzij de moderne computertechnieken is het niet allen mogelijk om
axiale beelden te maken. (lees schijfjes dwars op het lichaam) Maar ook
om die beelden te reconstrueren tot een 3D-model. Dit geeft vaak een
duidelijk beeld van het bot, en zijn letsel.